
Unser Labor ist so ausgestattet, dass wir fast die gesamte Zahntechnik in unserem Hause abdecken können. Dabei hat die Nähe des Labors zu den Patienten viele Vorteile.
Inlays oder Onlays aus Keramik oder Gold (hochpräzise Einlagefüllungen, die nach Abdruck des Zahnes im Labor hergestellt werden) sind besonders langlebig und im Falle der Keramik hochästhetisch.
Veneers (hauchdünne, sehr ästhetische Keramikverblendschalen, die zur Stellungs- oder Farbkorrektur auf die Oberkieferfrontzähne aufgeklebt werden).
Herausnehmbarer Zahnersatz, auf Wunsch mithilfe von Präzisionsgeschieben oder teleskopierenden Kronen ohne störende Halteklammern.
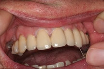
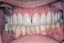
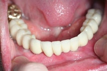
Festsitzender Zahnersatz (Kronen und Brücken evtl. mit metallkeramischer Verblendung).
Vollkeramische Kronen und Brücken aus Zirkonoxid (entsprechen höchsten ästhetischen Ansprüchen, metallfrei).
Implantatgetragener Zahnersatz für Einzelzähne, Brücken, komplexe Restaurationen oder zur Fixierung eines herausnehmbaren Zahnersatzes.
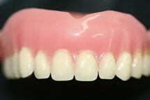
Totalprothetik (individuelle und natürliche Zahnaufstellung)
herkömmliche Zahnaufstellung