
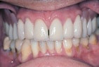
Wenn fehlende Zähne oder gar Zahnreihen ersetzt werden müssen, haben viele Menschen Angst, dass diese von anderen sofort als unecht oder künstlich erkannt werden. Dabei ist moderner Zahnersatz optisch nicht mehr von echten Zähnen zu unterscheiden. Sie fügen sich natürlich in das Gebiss ein und sind völlig unauffällig und werden der eigenen Zahnfarbe angepasst.
Wenn auch Sie Zahnersatz benötigen, laden wir Sie herzlich ein, einen Termin im Haus der Zahnmedizin in Braunschweig zu vereinbaren.
Welcher Zahnersatz zu Ihnen passt und welche Vor- und Nachteile diese mit sich bringen, erfahren Sie in einem persönlichen Beratungsgespräch mit Zahnarzt Dr. Rüffert in seiner Praxis.
Zahnprothesen, Zahnersatz oder auch „die Dritten“ genannt, dienen dazu, fehlende Zähne durch künstliche Zähne zu ersetzen. Dabei können kleine Zahnlücken, aber auch ganze Zahnreihen durch moderne und ästhetische Prothesen ausgebessert werden. Prothesen spielen eine entscheidende Rolle bei der Wiederherstellung der Zahnfunktion, indem sie verlorene Zähne durch künstliche Alternativen ersetzen. Ganz gleich, ob es sich um kleine Zahnlücken oder um den Ersatz ganzer Zahnreihen handelt, moderne Prothesen bieten eine ästhetisch ansprechende und funktionale Lösung.
Die Basis der Prothese, die den Gaumen nachbildet und an der die künstlichen Zähne befestigt sind, wird in der Regel aus hochwertigen Materialien gefertigt. Dabei kommen sowohl verträgliche Kunststoffe als auch Metalle zum Einsatz, um Ihnen einen optimalen Tragekomfort zu gewährleisten. Die künstlichen Zähne selbst bestehen aus robustem Kunststoff, anders als bei festsitzendem Zahnersatz, bei dem die Zähne aus Keramik oder Metall hergestellt werden.
Ja, verschiedene Prothesen, die herausgenommen werden können, sind für viele die ideale Lösung. Dazu zählen alle Prothesen, die nicht fest mit dem Zahnfleisch verankert sind. Durch das Herausnehmen können sie leicht gereinigt werden, sind allerdings meist nicht so langlebig wie festsitzender Zahnersatz. Ebenso können sie bei Bedarf erweitert werden. Sie werden meist eingesetzt, wenn noch eigene Zähne vorhanden sind.
Klammerloser Zahnersatz, der nur durch mehrere sogenannte Teleskope sicher gehalten wird. Dazu werden die Teleskope an den freien, zahnlosen Stellen im Kiefer verankert. Hoher Tragekomfort, da keine sichtbaren Metallteile und mit graziler Gaumenplatte.
Sogenannte Geschiebe-Elemente gehören zum kombinierten Zahnersatz, sie verankern die Prothese. Sie hält ohne Klammern, die Halteelemente sind nicht sichtbar – ein ästhetisch hochwertiger Zahnersatz.
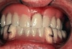
Stabile Nichtedelmetall-Konstruktion als Prothesenbasis. Bewährte Standardversorgung. Klammern sichern den Sitz der Prothese. Sie liegen allerdings oft im sichtbaren Bereich und werden als ästhetisch störend empfunden.
Eine Teilprothese zählt zu den herausnehmbaren Prothesen und kann bei Verlust mehrerer Zähne eine gute Lösung sein. Denn diese kommt zum Einsatz, wenn teilweise nebeneinanderliegende Zähne nicht mehr vorhanden sind. Die kleinen und unauffälligen Metallklammern finden an den umliegenden Zähnen Halt und sind zahnbettfreundlich.
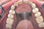
Eine Totalprothese oder auch Vollprothese genannt, wird bei einem zahnlosen Kiefer benötigt. Sie ersetzt das gesamte Gebiss des Patienten. Dabei handelt es sich um feste Zähne, die aneinandergereiht, meist ohne Lücken bestehen.
Kombinierter Zahnersatz ist dann möglich, wenn bereits eine Brücke, Krone oder ein Zahnimplantat besteht.
Diese Technologie kommt dann zum Einsatz, wenn noch ein Restbestand an eigenen Zähnen vorhanden ist, aber für den Zahnarzt keine Möglichkeit mehr besteht, einen fest einzuzementierenden Zahnersatz (Brücke) einzugliedern. Um dem Patienten trotzdem eine optimale Langzeitversorgung zu gewährleisten, besteht die Möglichkeit einer prothetischen Versorgung, z. B. mit Geschieben, Riegel, Teleskop- oder Konuskronen ohne sichtbare Klammern. Diese Art prothetischer Versorgung bildet eine sinnvolle Verbindung von Kronen und festsitzenden Brücken mit herausnehmbarem Zahnersatz.
Als Träger von Zahnprothesen ist es wichtig, die Pflege und Wartung Ihrer Prothese ernst zu nehmen, um ihre Langlebigkeit und Funktionalität sicherzustellen. Regelmäßige Kontrolluntersuchungen bei Ihrem Zahnarzt sind ebenso essenziell, um Anpassungen vorzunehmen und den Sitz Ihrer Prothese zu optimieren. So können Druckstellen vermieden und die Mundgesundheit gefördert werden.
Wenn Sie mehr dazu erfahren möchten, vereinbaren Sie einen Termin in unserer Zahnarztpraxis in Braunschweig. Herr Dr. Rüffert kann anhand einer Untersuchung feststellen, welcher Zahnersatz in Ihrem Fall optimal für Sie wäre. Außerdem erhalten Sie so die Chance, mehr über die einzelnen Methoden des Zahnersatzes zu erfahren. Freuen wir uns auf Ihren Besuch.