

Viele wünschen sich gesunde Zähne und ein strahlendes Lächeln. Doch ist leider nicht jeder Mensch mit starken und zugleich weißen Zähnen gesegnet. Mit regelmäßiger Prophylaxe wie der professionellen Zahnreinigung beim Zahnarzt ist dieser Wunsch praktisch immer erfüllbar. Sollte trotz Prophylaxe eine zahnärztliche Behandlung nötig werden, in der der Arzt Zahnsubstanz entfernen muss, gibt es verschiedene Füllungen, um den Zahn wieder aufzubauen. So bleibt der Zahn erhalten und Sie können nach nur kurzer Zeit wieder gut zubeißen.
Zu unseren Leistungen gehören die Beratung und Aufklärung der einzelnen Füllmaterialien sowie die Implantologie. Sollten Sie weitere Fragen haben, nutzen Sie gerne unser Kontaktformular oder unserer rufen Sie uns zu unseren Sprechzeiten gerne an.
Die Zahnerhaltung befasst sich mit dem Ersatz von Zahnsubstanz, die durch Karies oder Frakturen verloren gegangen ist. Ziel ist, die Kaufunktion und im sichtbaren Bereich die Ästhetik wiederherzustellen. In den vergangenen Jahren ist eine rege Diskussion um das beste Füllungsmaterial entbrannt. Wichtige Aspekte sind dabei jedoch häufig auf der Strecke geblieben. Denn korrekte Verarbeitung, gezielte Indikation und ein ausreichender Zeitfaktor sind für die Güte einer Füllung von viel größerer Bedeutung. „Das“ Universalfüllungsmaterial gibt es bisher nicht. Dafür kennt die moderne Zahnheilkunde verschiedene Varianten von Füllungsmaterial. Amalgamfüllungen sind laut Krankenkassen immer noch die erste Wahl zur Versorgung von Zahndefekten im Seitenzahnbereich. Auf die Frage nach der Gesundheitsschädlichkeit gehen wir an dieser Stelle nicht ein. Zahnarzt Dr. Rüffert aus Braunschweig steht Ihnen aber bei Fragen jederzeit persönlich zur Verfügung.
Füllungen aus Amalgam werden aber bei uns in der Praxis aus verschiedenen Gründen nicht mehr verwendet. Ab 2025 wird dieses Zahnfüllungsmaterial generell verboten.

Zahnfarbene Kunststoffe kommen seit Jahren in der Zahnmedizin und auch in unserer Praxis zum Einsatz. Diese eignen sich besonders, um Front- und zum Teil auch Seitenzähne mit ästhetisch ansprechenden Füllungen zu versehen. Sie werden keinen Unterschied erkennen. Da der Zahnarzt den Kunststoff direkt mit dem Zahn verklebt, bleibt meist mehr Zahnsubstanz erhalten als bei den anderen Werkstoffen zur Füllung.
Füllungen aus Kunststoff sind weicher und etwas weniger robust als andere Materialien. Dem großen Kaudruck im Seitenzahnbereich halten sie daher minimal kürzer Stand. Sie sind eine kostengünstige, ästhetisch ansprechende Alternative zu Gold und Keramik. Die Krankenkassen bezuschussen die Kosten in Höhe einer entsprechenden Amalgamfüllung. Den Differenzbetrag (je nach Füllungsgröße zwischen 40 und 90 €) müssen Sie selbst erbringen. Wie sich dies mit dem generellen Verbot von Amalgam als Füllmaterial auf die Kostenübernahme der Krankenkassen auswirkt, bleibt abzuwarten.
Jetzt Termin für eine kostengünstige Kunststofffüllung in unserer Praxis in Braunschweig vereinbaren:

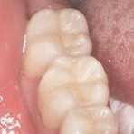
Inlays aus Vollkeramik gelten im Seitenzahnbereich heute zweifellos als die ästhetisch schönste Alternative der modernen Zahnmedizin. Vollkeramik ist ein sehr verträgliches und hochwertiges Material. Keramikfüllungen stellen wir im zahntechnischen Labor unserer Praxis her und kleben sie in den Zahn ein. Dabei lässt sich eine natürliche, farbgenaue Rekonstruktion des Zahnes erzielen. Die Keramikfüllung ist praktisch „unsichtbar“ und von den echten Zähnen kaum auseinanderzuhalten. Beachten Sie: Die gesetzlichen Krankenkassen übernehmen lediglich den Anteil einer einfachen Füllung an den anfallenden Kosten (350 bis 550 €). Ausnahme: An den Kosten für Teilkronen beteiligen sich die Krankenkassen im Rahmen des Festzuschusssystems. Siehe auch ästhetische Zahnheilkunde.
Jetzt Termin für eine ansprechende Keramikfüllung in unserer Praxis in Braunschweig vereinbaren:

Goldfüllungen sind solide, bruchsicher und seit vielen Jahren bewährt. Allerdings fallen sie optisch stark auf. Obgleich der Name das vermuten lässt, bestehen Goldfüllungen nicht aus reinem Gold. Stattdessen handelt es sich um Legierungen aus Gold und anderen Metallen. Diese Mischung mit anderen Metallen erhöht die Kaufestigkeit der Füllung. Beachten Sie, dass Goldfüllungen recht teuer sind (ca. 450 bis 700 € pro Zahn) und die gesetzlichen Krankenkassen diese Kosten nicht übernehmen.
Jetzt Termin für eine Goldfüllung in unserer Zahnarztpraxis in Braunschweig vereinbaren:

Die Endodontie ist ein Teilgebiet der Zahnheilkunde, welches sich hauptsächlich mit Erkrankungen des Pulpa-Dentin-Komplexes und dem periapikalen Gewebe beschäftigt. Die Endodontische Behandlung zielt darauf ab, den eigenen Zahn zu erhalten. So zählt die Wurzelkanalbehandlung des Zahnes zu einer endodontische Behandlung. Ziel ist, einen Zahn funktionsfähig zu retten. Hierbei therapiert der Zahnarzt den durch Karies, Bakterien oder Entzündung erkrankten Zahnnerv. Erfolgreiche Wurzelkanalbehandlungen sind aufwendig und stellen höchste Anforderungen an den Zahnarzt. Als Erstes ist die Entfernung von Bakterien und restlichem Nervengewebe aus dem Kanal essenziell, anschließend folgt die Reinigung und Desinfizierung sowie das Auffüllen des Hohlraumes mit geeignetem Füllmaterial. Während und nach der Behandlung fertigt der Zahnarzt Röntgenaufnahmen, um den Behandlungsverlauf und den Erfolg zu kontrollieren und zu dokumentieren. Ist es bereits zu einer Entzündung des umliegenden Knochens gekommen, setzen wir in unserer Praxis häufig den Laser ein, um die Entzündung ohne chirurgischen Eingriff zu beseitigen.
Nach erfolgreicher Behandlung ist oft eine Überkronung des Zahnes notwendig, da der tote Zahn meist durch eine ausgedehnte Karies geschwächt ist, durch die fehlende Versorgung des Zahnnervs mit den Jahren spröde wird und die Gefahr einer Fraktur besteht.
Weitere Informationen zur Wurzelbehandlung finden Sie hier:
Weitere Informationen zum Thema Zahnerhaltung und -gesundheit finden Sie auch in folgendem PDF von Zahnarzt Dr. Rüffert – Zahnarztpraxis in Braunschweig.
Sollte der angeschlagene Zahn aufgrund von verschiedenen Faktoren nicht mehr zu retten sein, wird Zahnersatz benötigt. Zu unseren angebotenen Leistungen gehören auch die Implantologie und Prothetik. Hier erfahren Sie alles Wichtige zum Thema Zahnersatz.