
Der Zahnarzt kann Brücken einsetzen, wenn Lücken in den Zahnreihen bestehen. Voraussetzung ist, dass stabile Nachbarzähne vorhanden sind, an denen sich die Brücke verankern lässt. Diese Zähne bezeichnet man als Brückenanker oder Brückenpfeiler. Brücken lassen sich fest verankern oder abnehmbar konstruieren. Sind keine oder nicht ausreichend Pfeiler vorhanden, finden Implantate Anwendung.
Brücken gehören zum langlebigen Zahnersatz. Material: Nichtedelmetall (Stahl), Edelmetall, Galvanotechnik, Vollkeramik, mit Keramik- oder Kunststoffverblendung.
Mitunter ist ein Restgebiss vorhanden, für das sich eine umfangreiche Versorgung mit einer Teleskopbrücke aus festsitzendem/herausnehmbaren Zahnersatz anbietet. Der Zahnersatz ist zwar herausnehmbar, aber die vielfach als unangenehm empfundene Prothesengestaltung mit einer Modellgussbasis entfällt.
Nachteil: Es handelt sich durch die hohen Anforderungen an die Zahnprothetik um eine hochwertige Versorgung, für die die Krankenkasse die Kosten aufgrund der gesetzlichen Bestimmungen nur teilweise übernehmen kann.
Die Allergiker unter Ihnen werden sich für die Bioverträglichkeit der Zahnmaterialien interessieren. Doch keine Bange: In Deutschland müssen die Hersteller von Zahnersatzmaterialien nachweisen, dass ihre Produkte nicht allergen wirken und keine die Zellen schädigenden Stoffe abgeben. Dieser Nachweis ist durch Prüfverfahren in vitro (im Reagenzglas) und/oder im Tierversuch zu führen, noch bevor die Hersteller ihre Produkte auf den Markt bringen. Dentallabore sollten sogenannte „Konformitätserklärungen“ abgeben. Das heißt, sie weisen in der Laborrechnung aus, welche Dentallegierung verarbeitet wurde. Diese Erklärung liegt der Zahnarztabrechnung bei. Bei der prothetischen Versorgung sollten Patienten und Zahnärztin / Zahnarzt darauf achten, dass einheitliche Metalle zum Einsatz kommen.
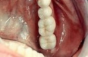
Zahnlücken lassen sich mit einer Vollgussbrücke schließen. Die Nachbarzähne werden als Pfeiler überkront. Die Brücke wird aus hoch goldhaltigen, goldreduzierten oder Nichtedelmetalllegierungen gefertigt. Da vollkommen unverblendet, tragen Vollgusskronen und -brücken der Ästhetik in keiner Weise Rechnung. Da vom Gesetzgeber auch im sichtbaren Zahnbereich dieser festsitzende Zahnersatz vorgesehen ist, sollten Sie sich über die verschiedenen Möglichkeiten der Verblendung genauer informieren.
Diese sind äußerst verträglich, da kein Metallunterbau für die Keramik vorhanden ist. Sie sind von den echten Zähnen nicht zu unterscheiden. Die fortschreitende Weiterentwicklung der keramischen Materialien bringt immer bruchfestere Werkstoffe hervor. Somit lassen sich heute auch im Seitenzahnbereich Keramikkronen und kurzspannige Brücken ohne Metallkern einsetzen. Die Herstellung ist allerdings etwas teurer, da es sich um die ästhetischste Methode der Zahnersatzmöglichkeiten handelt.
Bei der Keramikverblendkrone wird die keramische Masse in einem aufwendigen Schicht- und Brennverfahren auf das Metallgerüst aufgetragen. Die Zahnfarbe wird individuell ausgesucht. Der Zahntechniker kann keramische Verblendungen dem natürlichen Vorbild täuschend ähnlich nachbilden; sie sind farbstabil und abriebfest.
Keramikverblendkronen und -brücken sind eine ästhetisch anspruchsvolle Lösung. Der Werkstoff ist ausgezeichnet verträglich und äußerst abriebfest. Überkronte Zähne sind bei individueller Anpassung durch den Zahntechniker kaum vom Original zu unterscheiden. Es bestehen jahrzehntelange, sehr gute Erfahrungen in Haltbarkeit und Ästhetik.
Weitere Informationen zur Prothetik und dem Einsatz von Brücken finden Sie auch in folgendem PDF von Zahnarzt Dr. Rüffert – Zahnarztpraxis in Braunschweig.