
Früher wäre hier nur eine herausnehmbare Teilprothese infrage gekommen.
Fehlen mehrere Zähne, so spricht man vom teilbezahnten Kiefer. Solche größeren Zahnlücken konnten früher oftmals nur mit herausnehmbaren Teilprothesen geschlossen werden, wenn eine Brückenversorgung nicht mehr möglich war. Implantate erlauben, die Lücke mit einer implantatgetragenen festsitzenden Brücke zu schließen, ohne herausnehmbare Prothesen und ohne Abschleifen gesunder Nachbarzähne.
Gestern
herausnehmbare Teilprothese mit Klammern
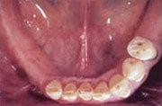
Heute
Ersatz der Unterkiefer-Seitenzähne beidseits mit natürlich aussehenden, festsitzenden Brücken und Kronen auf Implantaten.
Weitere Informationen zur Implantologie und Implantatbrücken für teilbezahnte Kiefer finden Sie auch in folgendem PDF von Zahnarzt Dr. Rüffert – Zahnarztpraxis in Braunschweig.